Allez sur la page main
  • Accueil
  • Vidéos
  • Blog
  • Formations Postgrade
  • Contact

La formation continue vétérinaire, ça commence maintenant !

Découvrez dès maintenant l'ensemble de notre bibliothèque de formations en vous laissant porter entre articles, vidéos et autres supports de formation gentiment offerts par vos partenaires

Formations par partenaire
Toutes les formations
Allez sur la page /touteslesformations-anxcompagnie
Allez sur la page /touteslesformations-chevaux
Allez sur la page /touteslesformations-betails
Allez sur la page /touteslesformations-autres
Petits animaux Chevaux Animaux de ferme Soft skills

L'abcès dentaire chez le lapin

Allez sur la page /neo-animalia-pts-animaux

L'abcès dentaire chez le lapin

Chez le lapin, une alimentation trop pauvre en fibres peut rapidement provoquer de graves problèmes dentaires… jusqu’à l’abcès ! Perte d’appétit, salivation excessive, déformations de la mâchoire : autant de signes qui doivent alerter. Le diagnostic est souvent simple, mais l’imagerie est essentielle pour cibler la dent atteinte. Alors, comment les reconnaître et surtout les traiter efficacement ? Réponse avec le Dr Charly Pignon !

Regarder la vidéo

5 éléments-clés pour réussir un massage cardiaque chez le chien et le chat

Allez sur la page /massage-cardiaque-chez-le-chien-et-le-chat

5 éléments-clés pour réussir un massage cardiaque chez le chien et le chat

L’arrêt cardio-respiratoire chez le chien et le chat reste une urgence au pronostic sombre. Le taux de survie est en partie influencé par la prise en charge du patient, c’est pourquoi un massage cardiaque efficace est d’importance cruciale. Découvrez les étapes à suivre et les erreurs à ne pas faire !

Lire l'article

Comment placer une sonde nasale chez le chien & le chat?

Allez sur la page /neo-animalia-pts-animaux

Comment placer une sonde nasale chez le chien & le chat?

Vous rencontrez des patients hypoxémiques, des cas qui nécessitent une supplémentation d’oxygène ? Dans cette vidéo, le Dr Guieu vous explique et vous montre comment placer une sonde à oxygène chez le chien et le cha

Regarder la vidéo

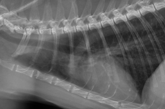
Les patterns pulmonaires à la radiographie

Allez sur la page /les-4-patterns-pulmonaires

Les patterns pulmonaires à la radiographie

Les maladies pulmonaires chez le chien et le chat se traduisent généralement par une augmentation ou une diminution de l'opacité radiographique des poumons. Ces changements d’opacité donnent lieu à une catégorisation sous forme de « pattern pulmonaire ». Découvrez comment identifier les différents patterns dans cet article !

Lire l'article

La hernie discale chez le chien et le chat

Allez sur la page /la-hernie-discale-chez-le-chien-et-le-chat

La hernie discale chez le chien et le chat

La hernie discale est une affection relativement courante du système nerveux, représentant près de 50 % des myélopathies compressives chez les chiens et environ 4 à 5 % chez les chats. Cette pathologie, loin d’être anodine, nécessite une bonne compréhension de ses causes et de ses signes cliniques afin d’optimiser sa prise en charge.

Lire l'article

Echographie abdominale normale : Comment observer les reins à l'échographie

Allez sur la page /neo-animalia-pts-animaux

Echographie abdominale normale : Comment observer les reins à l'échographie

Découvre, image par image, comment analyser un rein à l’échographie avec le Dr Aurélie Bruwier, spécialiste en imagerie médicale vétérinaire.

Regarder la vidéo

Echographie abdominale normale : Comment observer la vessie, urètre, prostate et noeuds lymphatiques à l'échographie

Allez sur la page /neo-animalia-pts-animaux

Echographie abdominale normale : Comment observer la vessie, urètre, prostate et noeuds lymphatiques à l'échographie

Apprends à trouver et à évaluer vessie, urètre, prostate et noeuds lymphatiques avec le Dr Aurélie Bruwier, spécialiste en imagerie médicale vétérinaire.

Regarder la vidéo



  • Accueil
  • Vidéos
  • Blog
  • Formations Postgrade
  • Contact

Charte de vie privée

Copyright © 2025 Alicia Van Crombrugghe - 2Learn. Tous droits réservés.

This website uses cookies
We use cookies to make sure that our website works correctly and that you have the best experience possible. By accepting, you agree to our use of such cookies.

Les cookies nécessaires sont indispensables au fonctionnement du site et ne peuvent être désactivés de nos systèmes. Ils sont généralement configurés uniquement en réponse aux actions entreprises par vous, qui se traduisent en une demande de services, comme définir vos préférences en matière de confidentialité, se connecter ou remplir des formulaires. Vous pouvez paramétrer votre navigateur pour bloquer ou vous alerter sur ces cookies, mais certaines parties du site ne fonctionneront alors pas. Ces cookies ne stockent pas d'informations personnellement identifiables.


Les cookies fonctionnels permettent au site web de fournir des fonctionnalités et une personnalisation renforcées. Ils peuvent être installés par nous ou par un prestataire tiers dont nous avons ajouté les services à nos sites. Si vous n'autorisez pas ces cookies, alors certains, voire tous ces services risquent de ne pas fonctionner correctement.


Des cookies de ciblage peuvent être installés sur notre site par nos partenaires publicitaires. Ils peuvent servir à ces entreprises pour construire un profil de vos centres d'intérêt et vous montrer des publicités pertinentes sur d'autres sites. Ils soutiennent nos activités marketing et aident à mesurer leur efficacité. Si vous n'autorisez pas ces cookies, vous verrez des publicités moins ciblées.


Les cookies de performances nous permettent de compter les visites et les sources de trafic de sorte que nous puissions mesurer et améliorer les performances de notre site. Ils nous aident à savoir quelles pages sont les plus et les moins populaires, et à voir combien de visiteurs circulent sur le site. Si vous n'autorisez pas ces cookies, nous ne saurons pas quand vous aurez consulté notre site, et ne serons donc pas en mesure d'analyser ses performances.


Les cookies non classés sont des cookies qui n'appartiennent à aucune catégorie selon leur type ou leur but.