En tant qu’étudiants vétérinaires, vous êtes formés à reconnaître des schémas cliniques : tuméfaction, chaleur, écoulement, douleur. Mais lorsqu’il s’agit des infections du site chirurgical (ISC), reconnaître un problème ne constitue que la moitié du travail. La question la plus difficile est la suivante : Parlons-nous tous de la même chose lorsque nous utilisons le terme « infection » ?
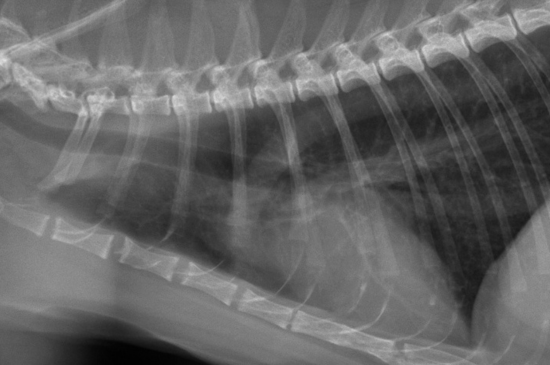
Les maladies pulmonaires chez le chien et le chat se traduisent généralement par une augmentation ou une diminution de l'opacité radiographique des poumons. Ces changements d’opacité donnent lieu à une catégorisation sous forme de « pattern pulmonaire ». Découvrez comment identifier les différents patterns dans cet article !
Cette vidéo, réalisée en partenariat avec l’Université de Copenhague (Faculty of Health and Medical Sciences), vous présente comment réaliser une adduction du membre postérieur chez le cheval. Ce genre de test peut être utilisé durant les tests de boiterie lorsque nous voulons compresser l’aspect médial du grasset. Un assistant sera présent sur le côté contra-latéral de l’animal pour apporter une tension constante sur la jambe pendant le test.

L’asthme chez le chat est une maladie respiratoire inflammatoire chronique des voies aériennes, se traduisant par une difficulté à respirer (dyspnée), souvent accompagnée de
toux
sifflements
ou de respiration rapide.
Comment faire la différence avec la bronchite chez le chat ?
Quelle prise en charge en phase aiguë ou à long terme de cette affection ?
Découvre le dans cette vidéo !
Que tu sois au début de tes études ou sur le point de franchir la dernière étape, on est là pour toi ! Dis-nous tout : tes doutes, tes besoins, tes envies. Nous adaptons les contenus sur le site, mais aussi nos formations en fonction de ce dont tu as besoin, afin de t'accompagner dans tes débuts et tout au long de ta vie professionnelle.
Remplis le formulaire et on s’occupe du reste !
Vet Student est une plateforme développée en collaboration avec Neo Animalia, spécialiste de la formation vétérinaire, avec une mission claire : t’accompagner dans ton passage de la vie étudiante à la vie professionnelle.
Cette transition peut être déroutante, parfois difficile à gérer : on se retrouve seul face aux propriétaires, seul pour poser un diagnostic, seul pour choisir un traitement, et ce sentiment peut être angoissant ! Pour t’aider à aborder cette future étape sereinement, Vet Student met à ta disposition un espace de formation conçu pour te donner les bases indispensables et te permettre de te sentir en confiance lors de tes futures consultations.

Un espace pensé uniquement pour toi afin de t’accompagner dans ton passage de la vie étudiante à la vie professionnelle.

Des formations de qualité offertes par des partenaires de confiance.

Un endroit où tu peux partager tes envies, tes doutes et tes questions sur tes études et ta future profession. N'hésite pas, on est là pour ça !

C'est parti, je crée mon compte 100% GRATUIT!